Bøjler og tandregulering
Har dit barn skæve tænder eller forkert sammenbid, så kan der være brug for bøjler.
Tandlægen ser på tandstilling og sammenbid ved de regelmæssige tandeftersyn. Hvis dit barn har skæve tænder eller forkert sammenbid, vurderer vores specialtandlæge, om vi kan tilbyde tandregulering.



Tandregulering
Vi tilbyder tandregulering efter Sundhedsstyrelsens retningslinjer.
Barnets tandstilling følges ved tandundersøgelserne.
Hvis der er indikation (tandstillingsfejl og betydelige afvigelser i kæbernes sammenbid), henvises barnet til visitation hos en specialtandlæge, som vurderer, om der skal indkaldes til yderligere undersøgelse på Tandreguleringsklinikken.
Barnet får en indkaldelse til Tandreguleringsklinikken.
Vi retter ikke tandstillingsfejl, der udelukkende har kosmetisk betydning.
Behandlingstilbuddet og opstart gives på det bedste tidspunkt i forhold til vækst og tandstillingsfejl.
Takkes der nej, er Tandplejen ikke forpligtiget til at give et nyt tilbud senere.
Se mere i Sundhedsstyrelsens vejledning og krav om kommunal tandpleje her - se side 19-26, der omhandler tandregulering.
Tandregulering tager ofte lang tid med mange besøg på klinikken. Det stiller store krav til barnet. Det er nødvendigt med støtte fra hjemmet, f.eks. til at passe tandbørstning og mødetider.
Inden behandlingen begynder, giver vi en grundig information, så I kan overveje kravene til at gennemføre behandlingen sammen med jeres barn.
Første besøg på klinikken
På det første besøg på klinikken undersøger vi forskellige ting, så vi kan planlægge hvilken type bøjle, der vil være bedst.
Vi tager fotos af tænder og ansigt.
Vi laver aftryk af over- og underkæben samt vokssammenbid til fremstilling af gipsmodeller eller en scanning af tænderne.
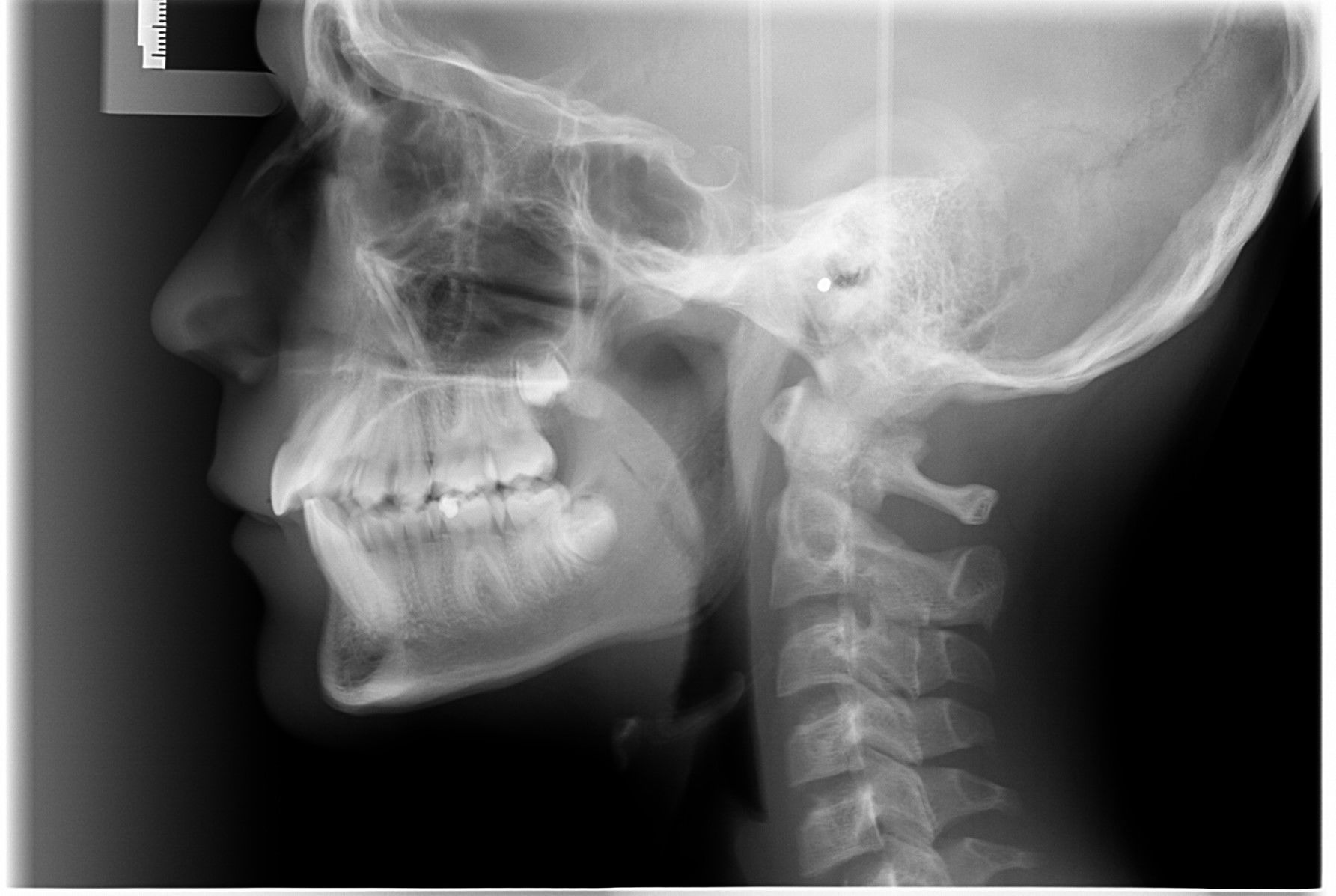
Vi tager røntgenbilleder af tænder, kæber og hoved.
Vi spørger indtil barnets generelle helbred og om der er nogle hensyn, vi skal være opmærksomme på.
Andet besøg på klinikken
Andet besøg hos os er en samtale, hvor vi gennemgår behandlingsplanen.
Vi fortæller om hvilken type bøjle der er nødvendig, risici ved behandlingen og forventet behandlingstid.
Vi fortæller også om der skal bruges holdebøjler og/eller tråde efter tandreguleringen.
Tandregulering er et tilbud, og efter samtalen kan I takke ja eller nej.






Aftagelige bøjler
Aftagelige bøjler tilbydes hvor vi gerne vil udnytte væksten, f.eks ved stort overbid.
Aftagelig bøjler kan også tilbydes ved f. eks krydsbid.
En aftagelig bøjle kan være den eneste behandling, andre gange kan det blive nødvendigt med en anden bøjle senere.
De aftagelige bøjler tilpasses individuelt til det enkelte barn, og kan derfor være forskellig fra barn til barn.
Brug
De aftagelige bøjler skal bruges hele tiden, og tages ud ved måltider, tandbørstning og evt sport.
Tilvænning
Udtalen kan være lidt forandret og det tager ca. 2 uger at vænne sig til at tale helt godt med den aftagelige bøjle.
Det kan være en god ide at lærere og kammerater/venner bliver informeret.
Tænderne kan føles lidt ømme i 2-3 dage. Ved nogle aftagelige bøjler kan kæbeleddene og de store tyggemuskler føles trætte/ømme (lidt som at puste balloner op).
Desuden vil der være lidt større spytmængde i ca. 2 dage.
Renhold
Bøjlerne skal børstes morgen og aften. De holdes rene med tandbørste og parfumefri sæbe/opvaskemiddel. Man kan bruge lidt tandpasta.
Opbevaring
Der følger en bøjleboks med, som bøjlerne altid skal lægges i, når de ikke er i munden. Bøjleboksen skal altid medbringes, så bøjlerne ikke bliver væk, smides ud eller går i stykker.
Går bøjlen i stykker
Kontakt klinikken med det samme og tag bøjle og stumper med.



Stimulerer kæbernes vækst.
Skal bruges hele dagen og om natten, ca. 20-22 timer i døgnet.
Bøjlen tages ud ved måltider og tandbørstning og evt. ved sport.



Bruges ved f.eks. krydsbid, hvor overkæbens bredde skal øges, for at undgå at kæberne vokser skævt.
Bøjlen udvides ved at man skruer i midten med den lille metalpind der udleveres sammen med bøjlen. I får en grundig instruktion inden I går fra klinikken.
Bøjlen skal bruges hele tiden og kun tages ud ved måltider og tandbørstning.



Bruges f.eks. hvis du bider op på ganen.
Den kan bruges enten sammen med faste bøjler eller mens vi venter på tandskiftet er overstået.
Bøjlen skal bruges hele tiden. Den skal tages ud ved måltider og ved tandbørstning.
Bruges sammen med faste bøjler, hvis der f. eks. skal føres en tand ud til tandrækken inde fra ganen.
Bruges selvstændigt ved stort slid på tænderne pga. tænderskæren og/eller kæbeproblemer.



Fastsiddende bøjler
Brackets eller ”togskinner” bliver limet fast på tænderne. Oftest er det nødvendigt med fastsiddende bøjler i både overkæben og underkæben.
Tilvænning
Det kan tage op til en uge, at vænne sig til brackets.
I starten kan opstå en lille blæne eller et lille sår i slimhinden. Du får voks med hjem til at sætte på brackets.
Ømhed
Tænderne vil være ømme de første 2-3 dage, og det kan være rart med mad, der ikke skal tygges for meget. Det kan f. eks. være pasta, ris, kogte kartofler og grøntsager og hakket kød.
Nogle har brug for almindelig smertestillende.
Hvad må du ikke spise
Behandlingstiden kan blive forlænget, hvis bøjlen går i stykker.
For at undgå at bøjlen går i stykker eller løs, er det vigtigt du ikke spiser hårde og seje fødevarer som f. eks. karameller, vingummi, lakridser, bolsjer og slikkepinde.
Hårde madvarer som f.eks. gulerødder, æbler og pærer skæres i mindre stykker.
Renhold
Det er vigtigt du børster tænder og brackets grundigt rene morgen og aften. Ellers er der risiko for tandkødsbetændelse og skader på tænderne, i værste fald huller i tænderne.
Det vil tage længere tid at børste end du er vant til.
Du får et tandbørstesæt udleveret, sammen med en grundig instruktion inden du forlader klinikken.
Vi tjekker altid din tandbørstning ved hvert kontrolbesøg, og giver dig en instruktion, hvis det er nødvendigt.
Hvis vi ser, at der er begyndt at ske skader på dine tænder, kan vi være nødt til at afbryde behandlingen før tid.
Hvis bøjlen går i stykker
Kontakt straks tandreguleringsklinikken.
Går bøjlen i stykker i weekenden eller i en ferien, kan du forsigtigt fjerne det løse ved at klippe tråden over med en Tre-i-ener.
Generer det ikke, så lad det sidde og kontakt tandreguleringsklinikken. Du kan evt. dække den løse bracket med lidt voks.
Røntgen
Når du har takket ja til tandreguleringsbehandling, har du og dine forældre også givet accept til, at vi tager et røntgenbillede ca. hver 6. måned.
Vi tager røntgenbilleder for at kontrollere om rødderne kan klare belastningen med faste bøjler.



Udstyr og materialer, som vi bruger ved fastsiddende bøjler
Placeres mellem 6-års tænderne hvis der skal sættes et bånd rundt om 6-års tænderne.



Sidder på tandbånd og ligger langs ganen, for at holde eller ændre på 6-års tænderne i overkæben. Desuden kan den holde eller øge tandbuens bredde.



Sidder på tandbånd og fiskestang bruges til at hjælpe hjørnetand frem og ned til tandbuen.



Små ”hylder” der limes bag de store fortænder i overkæben.
Bruges oftest sammen med faste bøjler for at undgå at der ikke bides på bøjlen (brackets) i underkæben.
Kan have forskellige størrelser og kræfter.
Bruges ofte sammen med fastsiddende apparatur til at gøre overbiddet mindre, kan også bruges til enkelttandskorrektioner, som f.eks. krydsbid.



Bruges ved et stort overbid.
Faste sektioner, der limes på tænderne og hjælper underkæben frem ved hjælp af teleskopstænger.
De bruges sammen med faste bøjler.
Bruges ved stort overbid.
Sidder fast på buerne i overkæben og underkæben, og hjælper underkæben frem.



Bruges til at udvide tandbuen i overkæben, f.eks. ved krydsbid.
Den er fastgjort til 6-års tænderne med 2 bånd.



En ståltråd der sidder på 6-års tænderne i underkæben og bruges til at holde på pladsen til en mindre kindtand, hvis mælketanden er tabt tidligt.
Det vil være nødvendigt at isætte separationselastikker ved 6-års tænderne.



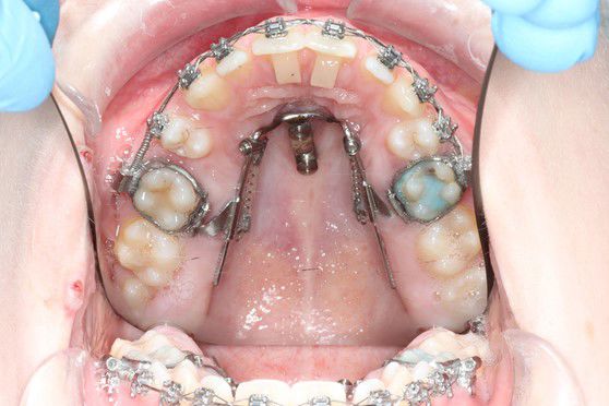
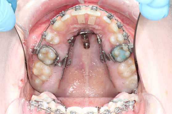
Bruges til at udvide ganen.
Den limes fast på tænderne. Der skal skrues i midten af bøjlen, I får en grundig instruktion på tandreguleringsklinikken.
Der kan opstå lidt spænding ved tænderne, næsen og evt. mellem øjnene.
Ofte kommer der et mellemrum ved fortænderne i en periode.



Bruges ved underbid, hvor den hjælper overkæben frem.
Den bruges sammen med Hyrax og holdes på plads med elastikker.
Facemask bruges efter skole, aften og om natten.



De indsættes i knoglen under lokalbedøvelse.
De kan sidde enten i den ene side eller i ganen.
Ved hjælp af skruerne kan man flytte enten en eller flere tænder uden at resten af tænderne belastes.



Når fastsiddende bøjler er klar til at komme af
Når de faste bøjler er klar til at komme af, så tages der putty-aftryk af bagsiden af fortænderne i overkæben og underkæben til små tråde.
Tænderne skal støttes efter fast apparatur, ellers vil de f.eks blive skæve igen.
Den dag du kommer for at få bøjlerne af, limes de små tråde bag på fortænderne. Herefter fjernes bøjlerne og limen slibes af.
Der tages et aftryk af overkæben til en støttebøjle.
Der tages desuden fotos af tænderne og ansigtet samt røntgenbilleder.
Der limes ofte en tråd bag på fortænderne i overkæben og underkæben. De støtter tænderne, så de ikke bliver skæve igen.
Vi anbefaler at trådene bliver siddende, ligeså længe man ønsker lige tænder.
Opdager du, at tråden er løs, skal du kontakte Tandreguleringsklinikken, da tænderne ellers kan flytte sig.
Vi tager aftryk til en støttebøjle den dag du får de faste bøjler af.
Den bruges efter de faste bøjler er fjernet, for at sikre et tæt sammenbid og undgå at tænderne bliver skæve.
Du starter med at bruge bøjlen hele tiden og senere kun om natten.
Det er vigtigt du bruger bøjlen som du har fået anvist, for at vi kan tage ansvar for behandlingsresultatet.



Når der mangler blivende tænder/voksentænder
Ca 2-10% af danskerne mangler 1-2 blivende tænder.
Specialtandlægen vurderer i samarbejde med Regionstandplejen, hvilken behandling der vil være bedst.
Behandlingen kan evt være at lukke mellemrum eller at justere pladsen og ansøge Regionen om en tanderstatning. Regionen beslutter om der bevilges en tanderstatning, det kan være et implantat eller en bro.
Hvis der er bevilget tanderstatning, kan der være behov for tandregulering med fastsiddende bøjler. Bagefter holdes pladsen med både tråde og aftagelige retentionsplader.
Hvis der mangler 1-2 små fortænder, kan tænderne i siderne evt flyttes frem. Herved undgås at vedligeholde evt. krone eller bro resten af livet.
Behandlingen foregår ved, at der indsættes 2 små skruer i ganen under lokalbedøvelse. Derefter fremstilles en ”ganebøjle”, der skues fast på ganeskruerne og sættes ind i bånd, der er limet fast på 6-års tænderne. To små fjedre skubber tænderne frem.
Det kan være eneste behandling, andre gange sammen med eller efterfulgt af faste bøjler.
Denudering/frilæggelse af tænder
Hvis en tand ikke selv kommer frem, kan der være behov for at denudere/frilægge en tand.
Det er oftest hjørnetænder eller 12-års tænder.
Der laves et lille snit/vindue i tandkødet, nogle gange er det nødvendigt at fjerne lidt knogle omkring tanden for at hjælpe den på vej frem i tandrækken.
Der lægges ofte lidt plast på tanden midlertidigt, for at holde tandkødet væk, mens tanden vokser frem.
Det foregår ved børnetandlægerne under lokalbedøvelse.
Denudering med kædepåsætning
Hvis en hjørnetand er placeret under tandkødet i f.eks. ganen, kan den hjælpes ud til tandrækken ved hjælp af en kæde, der limes fast til tanden. Før kæden kan limes på, bedøves tandkødet og løftes væk fra tanden.
Børnetandlægerne bedøver tandkødet, løfter tandkødet og limer kæden på.
Derefter følger en behandling med fastsiddende bøjler, hvor kæden aktiveres over en længere periode og hjørnetanden føres på den måde frem i tandbuen.